제이오성형외과 EVENT 바로가기
Before & After
제이오성형외과의 전후사진을 확인해 보세요!

* 위 게시물을 무단 도용시 저작권 및 초상권 침해로 법적 제재를 받으실 수 있습니다.
Total 436건 2 페이지
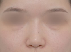
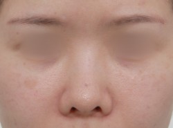
Before [24.07.20]
After [25.03.20]
Before [24.07.20]
Before [25.03.20]
Before [24.07.20]
Before [25.03.20]
  • 정면
  • 45도
  • 측면
기타 보조개 (한쪽)
· 수술 및 시술 후 개인에 따라 예상치 못한 염증, 출혈, 감염 등 부작용이 발생할 수 있으므로 주의를 요합니다.
· 실제 수술환자 사진 및 동의서 작성 진행 후 사진 노출 되었습니다.
Before [24.07.31]
After [25.02.17]
Before [24.07.31]
Before [25.02.17]
Before [24.07.31]
Before [25.02.17]
  • 정면
  • 45도
  • 측면
코성형 보형물+매부리+길이연장+비중격+기증늑
· 수술 및 시술 후 개인에 따라 예상치 못한 염증, 출혈, 감염 등 부작용이 발생할 수 있으므로 주의를 요합니다.
· 실제 수술환자 사진 및 동의서 작성 진행 후 사진 노출 되었습니다.
Before [24.07.31]
After [25.02.17]
Before [24.07.31]
Before [25.02.17]
Before [24.07.31]
Before [25.02.17]
  • 정면
  • 45도
  • 측면
코성형 보형물+매부리+길이연장+비중격+기증늑
· 수술 및 시술 후 개인에 따라 예상치 못한 염증, 출혈, 감염 등 부작용이 발생할 수 있으므로 주의를 요합니다.
· 실제 수술환자 사진 및 동의서 작성 진행 후 사진 노출 되었습니다.
Before [24.08.01]
After [25.06.21]
Before [24.08.01]
Before [25.06.21]
Before [24.08.01]
Before [25.06.21]
  • 정면
  • 45도
  • 측면
남자성형 코성형 (보형물+매부리+길이연장+비중격)
· 수술 및 시술 후 개인에 따라 예상치 못한 염증, 출혈, 감염 등 부작용이 발생할 수 있으므로 주의를 요합니다.
· 실제 수술환자 사진 및 동의서 작성 진행 후 사진 노출 되었습니다.
Before [24.07.24]
After [25.05.21]
Before [24.07.24]
Before [25.05.21]
Before [24.07.24]
Before [25.05.21]
  • 정면
  • 45도
  • 측면
코성형 보형물+매부리+길이연장+비중격+메가덤
· 수술 및 시술 후 개인에 따라 예상치 못한 염증, 출혈, 감염 등 부작용이 발생할 수 있으므로 주의를 요합니다.
· 실제 수술환자 사진 및 동의서 작성 진행 후 사진 노출 되었습니다.
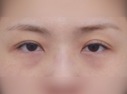
Before [24.08.20]
After [25.03.21]
  • 정면
리프팅 금실리프팅 (눈밑)
· 수술 및 시술 후 개인에 따라 예상치 못한 염증, 출혈, 감염 등 부작용이 발생할 수 있으므로 주의를 요합니다.
· 실제 수술환자 사진 및 동의서 작성 진행 후 사진 노출 되었습니다.
Before [24.08.01]
After [25.03.21]
  • 정면
리프팅 금실리프팅 (눈밑)
· 수술 및 시술 후 개인에 따라 예상치 못한 염증, 출혈, 감염 등 부작용이 발생할 수 있으므로 주의를 요합니다.
· 실제 수술환자 사진 및 동의서 작성 진행 후 사진 노출 되었습니다.
Before [24.08.09]
After [24.09.12]
  • 정면
리프팅 금실리프팅 (눈밑)
· 수술 및 시술 후 개인에 따라 예상치 못한 염증, 출혈, 감염 등 부작용이 발생할 수 있으므로 주의를 요합니다.
· 실제 수술환자 사진 및 동의서 작성 진행 후 사진 노출 되었습니다.
Before [24.07.15]
After [25.02.03]
Before [24.07.15]
Before [25.02.03]
Before [24.07.15]
Before [25.02.03]
  • 정면
  • 45도
  • 측면
남자성형 코성형 (보형물+매부리+길이연장+복코교정+비중격+기증늑)
· 수술 및 시술 후 개인에 따라 예상치 못한 염증, 출혈, 감염 등 부작용이 발생할 수 있으므로 주의를 요합니다.
· 실제 수술환자 사진 및 동의서 작성 진행 후 사진 노출 되었습니다.
Before [24.07.13]
After [25.01.28]
  • 정면
남자성형 눈재수술 (매몰→절개+눈매교정)
· 수술 및 시술 후 개인에 따라 예상치 못한 염증, 출혈, 감염 등 부작용이 발생할 수 있으므로 주의를 요합니다.
· 실제 수술환자 사진 및 동의서 작성 진행 후 사진 노출 되었습니다.
Before [24.07.13]
After [25.01.28]
Before [24.07.13]
Before [25.01.28]
Before [24.07.13]
Before [25.01.28]
  • 정면
  • 45도
  • 측면
남자성형 코성형 (맞춤형 보형물+매부리+길이연장+복코교정+비중격+콧볼축소)
· 수술 및 시술 후 개인에 따라 예상치 못한 염증, 출혈, 감염 등 부작용이 발생할 수 있으므로 주의를 요합니다.
· 실제 수술환자 사진 및 동의서 작성 진행 후 사진 노출 되었습니다.
Before [24.07.16]
After [24.07.30]
Before [24.07.16]
Before [24.07.30]
Before [24.07.16]
Before [24.07.30]
  • 정면
  • 45도
  • 측면
코성형 보형물+매부리+길이연장+복코교정+귀연골+기증늑
· 수술 및 시술 후 개인에 따라 예상치 못한 염증, 출혈, 감염 등 부작용이 발생할 수 있으므로 주의를 요합니다.
· 실제 수술환자 사진 및 동의서 작성 진행 후 사진 노출 되었습니다.
  • 424
    Before [24.07.20]
    After [25.03.20]
  • 423
    Before [24.07.31]
    After [25.02.17]
  • 422
    Before [24.07.31]
    After [25.02.17]
  • 421
    Before [24.08.01]
    After [25.06.21]
  • 420
    Before [24.07.24]
    After [25.05.21]
  • 419
    Before [24.08.20]
    After [25.03.21]
  • 418
    Before [24.08.01]
    After [25.03.21]
  • 417
    Before [24.08.09]
    After [24.09.12]
  • 416
    Before [24.07.15]
    After [25.02.03]
  • 415
    Before [24.07.13]
    After [25.01.28]
  • 414
    Before [24.07.13]
    After [25.01.28]
  • 413
    Before [24.07.16]
    After [24.07.30]

검색

카톡상담
예약신청
GO TOP
번역 아이콘
  • 🇰🇷 한국어
  • 🇺🇸 영어
  • 🇯🇵 일본어
  • 🇨🇳 중국어(번체)
  • 🇹🇼 중국어(간체)
  • 🇷🇺 러시아어
  • 🇲🇳 몽골어
  • 🇲🇲 미얀마어
  • 🇻🇳 베트남어
  • 🇦🇪 아랍어
  • 🇰🇭 크메르어
  • 🇹🇭 태국어
  • 🇫🇷 프랑스어
  • 🇵🇭 필리핀어
close
Reseration
예약 신청 ㅣ 온라인 예약 신청
상담부위를 선택하세요. chevron_right
희망날짜를 선택하세요. chevron_right
예약 날짜 :
<< >>
SUN MON TUE WED THU FRI SAT
희망시간을 선택하세요. chevron_right
예약 시간 :

온라인 빠른 예약은 "예약 확정"이 아니라 "예약 신청" 입니다.
예약 신청을 해주시면 예약 확정을 위해 상담원이 연락을 드리고 있습니다.

상담원과의 통화 후 예약 확정이 되는 시스템이니 착오 없으시길 바랍니다. 😊
감사합니다.

개인정보처리방침